Ciencia y tecnología
Detectan gen que controla impulsividad
El hallazgo puede facilitar la búsqueda de un biomarcador para diagnosticar jóvenes propensos al abuso de drogas. Investigadores de la Universidad de Vermont descubrieron que la mutación del gen SLC6A2, un...
Recomiendan fármaco para prevenir VIH
Las pruebas han demostrado que se puede reducir en un 73% el riesgo de contraer el VIH si la pastilla es tomada diariamente. Expertos de la Administración de Alimentos y Fármacos (FDA) de EU recomiendan usar el...
Investigadores Argentinos diseñan un chip capaz de diagnosticar enfermedades oculares
El diseño, simulación y fabricación de nano y microdispositivos con aplicaciones en oftalmología es el trabajo de investigadores del laboratorio BioMEMS. El desarrollo en particular de este chip permite miniaturizar...
Implantan chip que devuelve parcialmente la vista
El chip se coloca detrás de la retina, desde donde un cable fino llega hasta una unidad de control bajo la piel detrás del oído, permitiendo que los pacientes perciban luz y distingan formas. Por primera vez se ha...
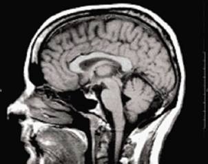
Identifican genes vitales en la actividad cerebral.
El grupo de genes que fue hallado sólo se encuentra en mamíferos y son esenciales para proporcionar la energía que requieren las neuronas. Un equipo del Instituto de Investigación Biomédica de Barcelona (IRB),...
Investigadores Argentinos desarrollaron una lana líquida
Los Centros INTI Química e INTI Textiles evaluaron la posibilidad de ampliar la cadena de valor de lanas obteniendo productos con mayor valor agregado. Con este objetivo se desarrolló un método para obtener un...