Admin
 
 
Logo DIPLOX
Cientificos Argentinos descubren cuánto tarda en formarse un recuerdo
Volver Por tomamateyavivate
  
Martes, 18/02/2014
Cientificos Argentinos descubren cuánto tarda en formarse un recuerdo
Un trabajo realizado por dos científicos argentinos, Rodrigo Quian Quiroga y Hernán Rey, y publicado en la publicación Current Biology, refleja que un recuerdo tardaría en formarse en 300 milisegundos


“En el experimento, mostramos fotos durante 30 a 50 milisegundos -cuenta Quian Quiroga, uno de los investigadores

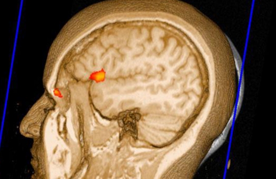
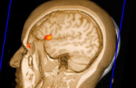
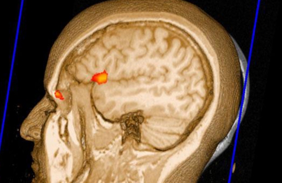
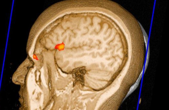
Quian Quiroga, director del Centro de Neurociencia Sistémica de esa universidad, es un buen conocido de la prensa internacional. Su nombre saltó a los titulares cuando en 2009 descubrió “la neurona Jennifer Aniston”. Trabajando con pacientes que iban a ser operados por epilepsia refractaria y a los que se les colocaban electrodos en neuronas individuales para localizar el foco de los ataques, Quian Quiroga dio con un tipo de células cerebrales que codifican conceptos.

Lo de Jennifer Aniston surgió porque constató que cada vez que se les mostraba una foto de la actriz, una tarjeta con su nombre escrito o se les hacía escuchar el sonido de esas dos palabras, se activaba la misma neurona. “Todos los indicios sugieren que estas neuronas están involucradas en la formación de memoria -explica Quian Quiroga, desde Leicester-. En general, la memoria episódica (la de los sucesos autobiográficos) tiende a ser una asociación de conceptos.

Contrariamente a lo que le ocurre a Funes el Memorioso, el personaje de Borges, tendemos a recordar conceptos y a olvidar detalles irrelevantes.” Pero lo que sorprendía a los científicos era que estas neuronas responden muy tarde a la presentación de un estímulo: mientras el tiempo normal de reacción ronda los 100 milisegundos, éstas se activan a los 300 milisegundos. La gran pregunta, entonces, era: ¿qué mecanismo le dice a la neurona cuándo tiene que disparar [un impulso eléctrico]? “Se cree que para formar una memoria episódica es importante poder crear asociaciones de una serie de eventos -detalla Hernán Rey, ingeniero electrónico graduado en la UBA-.

Las «células de concepto» estarían capturando el significado del estímulo en forma abstracta, independientemente de los atributos físicos. De hecho, se sabe que pacientes con lesiones en el lóbulo temporal medial (que es donde están estas células) tienen dificultad para combinar información contextual, dar detalles de experiencias pasadas e incluso imaginarse situaciones nuevas.” Analizando los registros de los electrodos, Rey pudo ver que lo que les marca el tiempo de activación a estas neuronas de concepto es la activación conjunta de un gran número de neuronas (llamada técnicamente “potencial evocado”). “Es como una avalancha de activación por estímulos primarios”, subraya Quian Quiroga.

Y agrega Rey: “Las células de concepto son muy selectivas; no son muchos los estímulos que las «encienden». Esta ventana temporal puede ser esencial para coordinar la dinámica de funcionamiento de estas redes neuronales.” Un dato sugestivo que detectaron los científicos es que estas neuronas tan particulares sólo respondían cuando el paciente estaba consciente. “En el experimento, mostramos fotos durante 30 a 50 milisegundos -cuenta Quian Quiroga-. Era tan rápido que a veces el paciente las veía y a veces, no. Estábamos en el umbral de la conciencia. Y lo que comprobamos fue que la neurona respondía únicamente cuando el paciente veía la foto. Sólo entonces se desencadenaba esa «avalancha». Es decir que no podemos generar recuerdos episódicos de hechos que no son conscientes.”

Fuente: Argentina.ar

Leer mas: http://www.tomamateyavivate.com.ar/inventos-y-descubrimientos-argentinos/cientificos-argentinos-descubren-cuanto-tarda-en-formarse-un-recuerdo/


Volver Por tomamateyavivate