Admin
 
 
Logo DIPLOX
Cientificos Argentinos identifican un mecanismo que causa la epilepsia y la resistencia a la medicación
Volver Por tomamateyavivate
  
Jueves, 23/01/2014
Cientificos Argentinos identifican un mecanismo que causa la epilepsia y la resistencia a la medicación
El hallazgo de científicos de la UBA permitiría en el futuro prevenir convulsiones y ayudar al 30 por ciento de los pacientes que no responden a la medicación convencional

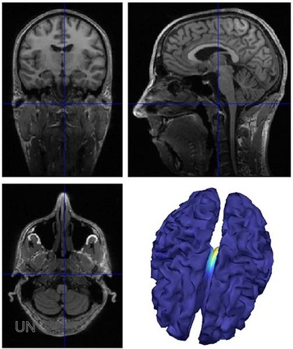
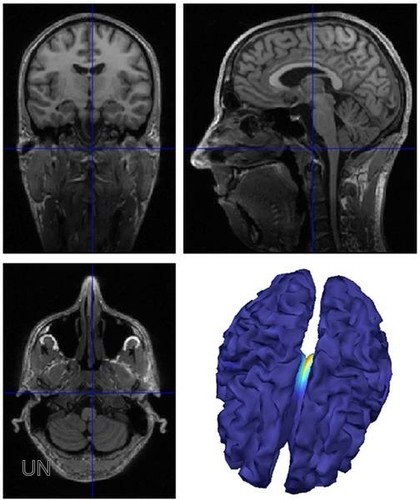
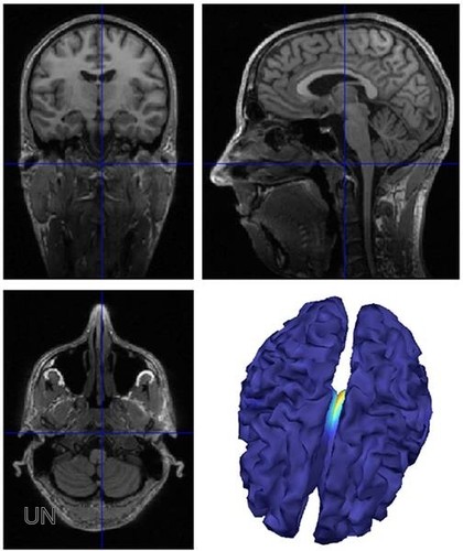
Nuevo método no invasivo para detectar epilepsia.
En un 30 por ciento de los pacientes con epilepsia, los medicamentos convencionales no logran el control de las crisis convulsivas o no convulsivas. Ahora, investigadores de la UBA identificaron que la raíz molecular de estas epilepsias “refractarias” también podría desencadenar los episodios, lo cual permitiría, en el futuro, diseñar nuevas estrategias para prevenirlas o tratarlas.

El hallazgo tiene una historia. En la década del ’90, el doctor Alberto Lazarowski, actualmente en el departamento de Bioquímica Clínica de la Facultad de Farmacia y Bioquímica de la UBA, decidió junto a un equipo de colegas averiguar qué ocurría a nivel molecular en una paciente con epilepsia que no mejoraba pese a recibir dosis adecuadas de un fármaco de alta calidad. Los resultados fueron asombrosos: la medicación administrada lograba permanecer muy poco tiempo en el torrente sanguíneo, como si el cuerpo necesitara deshacerse de ella de inmediato.

Lazarowski conjeturó que este hecho podía ser consecuencia de un procedimiento de “lavado” de fármacos, similar al descubierto poco tiempo antes en células cancerosas, que resistía la quimioterapia convencional, y que estaba mediado por una proteína de transporte, denominada P-gp. Acto seguido, su equipo logró determinar que esa proteína impedía el ingreso de los medicamentos al sistema nervioso central y, por ende, eran incapaces de actuar sobre las neuronas afectadas.

SiEl hallazgo de científicos de la UBA permitiría en el futuro prevenir convulsiones y ayudar al 30 por ciento de los pacientes que no responden a la medicación convencional.n embargo, en estudios con ratas, Lazarowski y su equipo acaban de hacer otro hallazgo: la molécula P-gp no sólo frena el ingreso de los fármacos convencionales, sino que también afecta a las membranas neuronales y facilita la aparición de las crisis epilépticas. En otras palabras: además de impedir que actúen los medicamentos, P-gp “forma parte del amplio concierto de mecanismos que causan la epilepsia”, destacó Lazarowski, quien también es investigador invitado en el Instituto de Biología Celular y Neurociencias “Prof. Eduardo de Robertis” de la Facultad de Medicina de la UBA.

El trabajo, publicado en “Current Pharmaceutical Design”, todavía está lejos de tener una aplicación clínica. Pero los científicos están pensando en el diseño de tratamientos que en forma preventiva inhiban la expresión de esa molécula. De este modo, “evitaríamos no sólo la resistencia a los fármacos sino quizás la propia aparición de las convulsiones”, se esperanzó LazarowsEl hallazgo de científicos de la UBA permitiría en el futuro prevenir convulsiones y ayudar al 30 por ciento de los pacientes que no responden a la medicación convencional.

El hallazgo de científicos de la UBA permitiría en el futuro prevenir convulsiones y ayudar al 30 por ciento de los pacientes que no responden a la medicación convencioEl hallazgo de científicos de la UBA permitiría en el futuro prevenir convulsiones y ayudar al 30 por ciento de los pacientes que no responden a la medicación convencional.(15-01-2014 – Agencia CyTA-Instituto Leloir)- En un 30 por ciento de los pacientes con epilepsia, los medicamentos convencionales no logran el control de las crisis convulsivas o no convulsivas.

Ahora, investigadores de la UBA identificaron que la raíz molecular de estas epilepsias “refractarias” también podría desencadenar los episodios, lo cual permitiría, en el futuro, diseñar nuevas estrategias para prevenirlas o tratarlashallazgo de científicos de la UBA permitiría en el futuro prevenir convulsiones y ayudar al 30 por ciento de los pacientes que no responden a la medicación convencional.

El hallazgo de científicos de la UBA permitiría en el futuro prevenir convulsiones y ayudar al 30 por ciento de los pacientes que no responden a la medicación convencional.

Fuente: AGENCIA CYTA-INSTITUTO LELOIR

Leer mas: http://www.tomamateyavivate.com.ar/inventos-y-descubrimientos-argentinos/cientificos-argentinos-identifican-un-mecanismo-que-causa-la-epilepsia-y-la-resistencia-a-la-medicacion/


Volver Por tomamateyavivate