Admin
 
 
Logo DIPLOX
La clave del intestino para alejar virus y bacterias está en sus propios nutrientes
Volver Por sintesisdeprensa
  
Miercoles, 28/11/2012
La clave del intestino para alejar virus y bacterias está en sus propios nutrientes
Se comprobó que en esta supervivencia y lucha por el territorio las secreciones que se liberan desde el interior son más potentes que las que vienen de afuera con los alimentos.

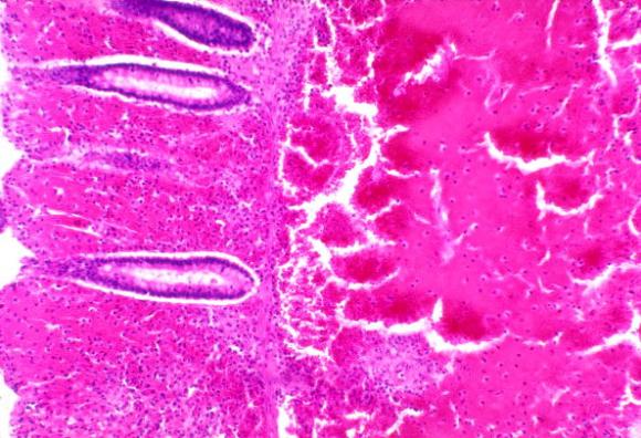
Virus en el intestino.

Un equipo científico de la Universidad de Oxford exploró el comportamiento de las células epiteliales, las cuales revisten los intestinos, y su relación con los microorganismos como virus y bacterias; y como resultado destacaron que algunos nutrientes favorecen el comportamiento de microbios beneficiosos que terminan por expulsar a las cepas dañinas.

La investigación determinó que solo se necesitan pequeñas cantidades de secreción, pero que éstas provienen de las células epiteliales, y no de los alimentos directamente. Gracias a esta secreción se mantienen los beneficios, que en caso contrario se pierden

Esto se ve favorecido ya que “las células de nuestro cuerpo son mucho más numerosas que los microbios que viven en nosotros y, en particular, en nuestro intestino”, destaca el profesor Kevin Foster, del departamento de Zoología de la Universidad de Oxford, y autor del informe.

“Sabemos que muchos microbios intestinales son muy beneficiosos, que nos protegen de los agentes patógenos y nos ayudan con la digestión, pero cómo evoluciona esta relación de beneficio mutuo y cómo se mantiene, era algo así como un misterio”, agregó el especialista.

Para Foster, la clave está en las sustancias promotoras de crecimiento, ya que son ellas las que al fin podrán controlar a los microorganismos que llegan al interior del cuerpo.

Se demostró que “los nutrientes son más potentes cuando se liberan por la capa epitelial de la célula huésped, en lugar de venir de los alimentos del intestino”.

Esta comprobación hace pensar a Foster que el control de los microorganismos en el tracto intestinal puede ser más fácil de lo que se pensaba.

“El interior de nuestro intestino es más bien como una zona de guerra, con toda clase de microbios batallando por la supervivencia y la lucha por el territorio”, destaca Jonas Schluter de la Universidad de Oxford Departamento de Zoología, primer autor del informe.

“Nuestro estudio muestra que los huéspedes (células epiteliales) solo tienen que segregar una pequeña cantidad de sustancias que favorecen ligeramente microbios beneficiosos para inclinar la balanza del conflicto”.

Schluter explica que sin esta segregación de sustancias, las especies microbianas favorecidas se perderían no sólo de sobrevivir en la superficie epitelial, sino que no podrían expandirse para empujar a las otras cepas que vienen llegando.

El estudio concluye que estos cambios relativamente pequeños instituidos por el anfitrión, en este caso gracias a estas pequeñas cantidades de secreciones de ciertos compuestos, pueden ser grandes amplificadores y producir efecto a escala.


Volver Por sintesisdeprensa