Admin
 
 
Logo DIPLOX
Investigadores Argentinos crean un modelo que permite estudiar el cáncer de mama más agresivo
Volver Por tomamateyavivate
  
Sábado, 29/09/2012
Investigadores Argentinos crean un modelo que permite estudiar el cáncer de mama más agresivo
El estudio realizado por investigadores argentinos abre el camino para el diseño de terapias que interfieran con la metástasis.


(Agencia CyTA-Instituto Leloir)-. El cáncer de mama es la enfermedad maligna de mayor incidencia en la población femenina a nivel mundial. Y en Argentina, también es la primera causa de muerte por cáncer en mujeres, según las últimas cifras oficiales del Ministerio de Salud y del Instituto Nacional del Cáncer.

Ahora, científicos argentinos dieron un paso adelante en el estudio del tumor mamario más agresivo. Crearon un modelo de estudio que, aseguran, abre caminos para desarrollar terapias orientadas a bloquear las metástasis.

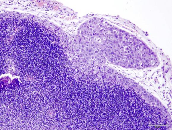
El cáncer de mama no es una única enfermedad, sino que existen distintos tipos genéticos que presentan características clínicas particulares. De ellos, los llamados “triple negativos” (aquellos que no expresan tres tipos de receptores) representan un 15 por ciento de todos los tumores mamarios y suelen ser los de peor pronóstico. “No cuentan al momento con terapias específicas y, si bien se tratan con quimioterapia convencional, presentan alta tasa de recurrencia y mortalidad”, indicó a la Agencia CyTA el doctor José Mordoh, jefe del Laboratorio de Cancerología del Instituto Leloir y director del Centro de Investigaciones Oncológicas de FUCA.

Lo que hicieron Paula Roberti, Marcela Barrio, Mordoh y otros colegas fue cultivar células provenientes de un cáncer de mama humano “triple negativo”, las cuales fueron luego inoculadas en ratones de experimentación que permiten el crecimiento de células humanas sin rechazarlas. “Las células resultaron ser metastásicas en el ratón, pudiendo invadir los ganglios: un proceso semejante al que ocurre en la enfermedad humana”, precisó Mordoh. Tras varios ciclos de crecimiento de las células metastásicas, los científicos lograron obtener células significativamente más agresivas.

Para profundizar en los mecanismos moleculares que subyacen al proceso, los científicos realizaron una comparación entre las células originarias y las metastásicas mediante una tecnología que permite evaluar los cambios de ciertas proteínas celulares.

Según el trabajo publicado en la revista internacional Cancer Biology & Therapy, Mordoh y su equipo evaluaron más de 160 proteínas presentes en los tumores metastásicos, estableciendo una categorización desde las que experimentaron mayor a las de menor cambio. “Sobre ellas profundizaremos nuestras investigaciones”, anticipó Mordoh, quien agregó que en base a ese conocimiento “se podrían diseñar fármacos que ataquen moléculas fundamentales del proceso metastásico para impedirlo”.

Ya comenzaron los estudios pre-clínicos, tanto en cultivo de células como en animales. “De funcionar todo bien, los primeros ensayos clínicos podrían comenzar en un año; durar unos tres años, y si todo marcha bien se podría avanzar hacia una posible aprobación en unos 5 años”, indicó Mordoh.

La investigación se ha desarrollado de manera conjunta por la Fundación Instituto Leloir, FUCA y el Instituto Alexander Fleming. Las instituciones que apoyaron este estudio fueron la Agencia Nacional de Promoción Científica y Tecnológica, el CONICET, FUCA, la Fundación Sales, la Fundación María Calderón de la Barca y la Fundación P. Mosoteguy.

El doctor José Mordoh, Jefe del Laboratorio de Cancerología del Instituto Leloir y Director del Centro de Investigaciones Oncológicas de la Fundación Cáncer, y sus colegas crearon un modelo que permite estudiar el cáncer de mama más agresivo.

Créditos: Agencia CyTA – Instituto Leloir

Leer mas: http://www.tomamateyavivate.com.ar/medicina-argentina/investigadores-argentinos-crean-un-modelo-que-permite-estudiar-el-cancer-de-mama-mas-agresivo/#


Volver Por tomamateyavivate