Admin
 
 
Logo DIPLOX
Radiografías dentales se relacionan a meningiomas
Volver Por sintesisdeprensa
  
Lunes, 24/09/2012
Radiografías dentales se relacionan a meningiomas
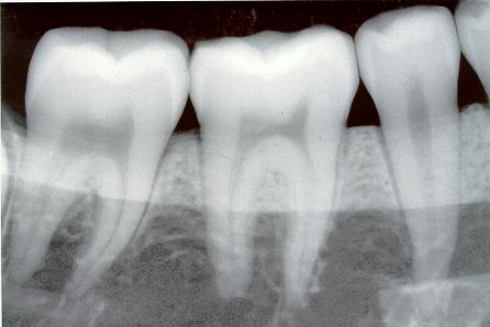
¿Qué debe hacer la próxima vez cuando el dentista le diga que debe tomarse una radiografía dental completa? Un nuevo estudio demuestra que debe limitar la cantidad de exposición a la radiación en el transcurso de la vida, particularmente en los niños.

La Dra. Elizabeth Claus, de la Universidad Yale, reportó en la revista médica “Cáncer” de la Sociedad Americana de Cáncer que existe una relación entre las radiografías dentales y el riesgo de desarrollar tumores de cerebro llamados meningiomas.

Estos tumores crecen de las meninges, capas de tejido que cubren al cerebro. Por suerte la mayoría de los meningiomas son benignos. Muchos son de crecimiento lento, pero pueden amenazar la vida de la persona si se hacen muy grandes como una pelota de béisbol comprimiendo el tejido del cerebro.

Los meningiomas comprenden un 34 por ciento de todos los tumores. Pueden ocurrir a cualquier edad y son dos veces más comunes en las mujeres.

Se creía en el pasado que la causa principal de los meningiomas era la ionización de las radiaciones debido a las bombas atómicas o radiaciones recibidas durante el tratamiento del cáncer. Ahora la Dra. Claus dice que el riesgo principal son las radiografías dentales.

La Dra. Claus y sus colegas estudiaron a 1.433 estadounidenses que habían sido diagnosticados con meningiomas y otros 1.350 que no tenían este tumor, pero que eran de la misma edad, sexo y de área geográfica. Los investigadores analizaron la historia dental y médica de los dos grupos.

Se les preguntaron a los participantes si el dentista había ordenado radiografías cada año, de vez en cuando o nunca. También se les preguntó si habían usado ortodoncia que incluía radiografías.

La Dra. Claus concluyó que en aquellos que informaron haber tenido radiografías de la boca completa antes de los 10 años, tuvieron 4,9 veces más probabilidades de desarrollar un meningioma. A su vez aquellos que tenían radiografías dentales, de toda la boca, después de los 10 años de edad, tenían un riesgo tres veces mayor. Esto debería destellar como una luz roja para los padres.

¿Cómo se pueden evitar las radiografías dentales? Según la Dra. Claus, todos los niños que reciben ortodoncia también reciben radiografías. Ninguno de mis hijos tuvo ortodoncia, pero muchos de mis nietos los tienen. La pregunta es, ¿cuántas son realmente necesarias? Aparte, ¿se ha vuelto esta práctica una tendencia de moda? ¿Vale la pena el riesgo impuesto aunque sólo sea por razones estéticas?

Nunca acepte esta razón si un técnico dental le dice, “No se preocupe, usted está expuesto a mayor radiación en un día en el Sol o volando por el Caribe”.

Estoy de acuerdo que las radiografías dentales de hoy en día exponen menos radiación que en el pasado. Pero pequeñas cantidades de radiación se acumulan cuando se asciende a la exposición recibida de otras pruebas de rayos X. La radiación no es como una infección que se cura con antibióticos. La radiación es acumulativa, y nuestros cuerpos nunca se olvidan de la cantidad que han recibido en toda la vida.

Siempre me he preocupado por la radiación innecesaria y muchos años atrás una de mis columnas hizo noticia de primera plana. Descubrí que algunos de mis pacientes recibían enormes cantidades de radiación de equipos dentales y otros rayos X. Por ejemplo, ¡algunos equipos de rayos X no habían sido revisados por 15 años! Esto provocó una gran investigación por el gobierno.

Por supuesto que las radiografías dentales son necesarias por razones legítimas, pero como todo, puede ser exagerado. Así, que siempre pregunto si la radiografía es realmente necesaria. No se sabe cuánta radiación uno pueda recibir antes de que cause problemas.

Idealmente, todos deberíamos tener tarjetas de radiación que registre la cantidad de radiación que hemos acumulado, especialmente porque las radiografías de tomografía computadas proyectan altas cantidades de radiación. Pero el infierno se congelará antes de que tales tarjetas se pongan en uso.

¿Qué deben hacer los padres? Estoy de acuerdo que si los dientes están claramente torcidos se merecen una ortodoncia, mientras las dosis de radiación no se comparen a las del escaneo. Pero para menores imperfecciones, sería prudente que los padres se preguntaran: “¿Debo exponer a mi hijo al riesgo potencial de radiación y meningioma, y qué tan importante es que mi hijo no tenga una sonrisa perfecta?”

El Dr. Gifford-Jones en un reportero médico con una práctica privada en Toronto.


Volver Por sintesisdeprensa