Admin
 
 
Logo DIPLOX
Alteraciones congénitas del catabolismo de lípidos complejos
Volver Por doctorsalud
  
Martes, 28/02/2012
Alteraciones congénitas del catabolismo de lípidos complejos
Existe un grupo de enfermedades hereditarias caracterizadas por trastornos metabólicos resultantes en acumulación de lípidos complejos en diversos tejidos. En general, se manifiestan desde la niñez y afectan seriamente el desarrollo y sobrevida del individuo.

Entre estos “errores congénitos de metabolismo” de causa genética se da descripto una variedad de enfermedades rotuladas genéricamente como esfingolipidosis. En todas ellas hay alteraciones en la síntesis de esfingolípidos.

A continuación se citan algunos de los cuadros más comunes de estos desórdenes.
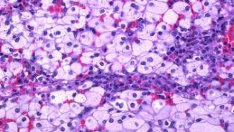
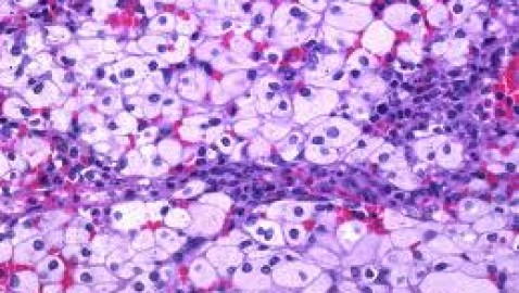
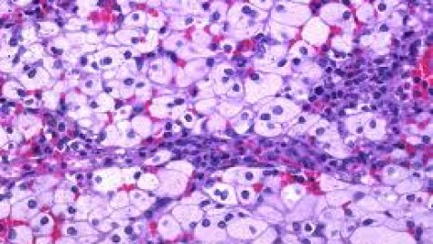
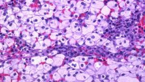
Enfermedad de Niemann-Pick. Los pacientes presentan notable aumento del tamaño del hígado y bazo. Las células del hígado y bazo tienen aspecto moteado, y se acumula gran cantidad de esfingomielina en los tejidos. El defecto primario es la falta de esfingomielinasa, enzima que cataliza el primer paso catabólico de la esfingomielina.

Enfermedad de Gaucher. Los individuos afectados presentan hepatoesplenomegalia y células características, cargadas de lípidos, en distintos tejidos y en la médula ósea. En el tipo más frecuente de esta enfermedad no hay compromiso de sistema nervioso. Se acumulan en las células glucocerebrósidos, no degradados por la falta de glucocerebrosidasa.

Enfermedad de Tay-Sanchs. Las células nerviosas, particularmente en corteza cerebral, se muestran repletas de lípidos, en su mayor parte un ganglósido normalmente muy escaso. El defecto bioquímico es la falta de hexosaminidasa A. La acumulación del compuesto lipídico produce grandes alteraciones, retraso mental, ceguera y debilidad muscular.

Enfermedad de Sandhoff. El defecto genético produce ausencia de hexoaminidasas A y B. Se acumulan ganglósidos y globósidos. Determina serias anomalías neurológicas.


Volver Por doctorsalud