¿Que es el Liquen Plano?

Por
doctorsaludSábado, 11/02/2012

El liquen plano es una enfermedad poco común que causa erupción o lesión inflamatoria y picazón recurrentes en la piel o en la boca. No se conoce la causa exacta de esta enfermedad, pero es probable que esté relacionada con una reacción alérgica o inmune.
Los síntomas característicos son boca seca, sabor metálico en la boca, lesiones orales, sensibilidad o dolor, puede no existir malestar en los casos leves, están localizadas a los lados de la lengua o en el interior de las mejillas, son lesiones ocasionalmente erosivas que forman úlceras dolorosas y otros signos y síntomas fuera de la cavidad oral como pérdida de cabello, lesiones cutáneas. El tratamiento es con prescripción de algunos medicamentos como antihistamínicos.
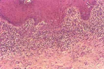
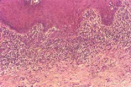
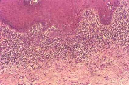
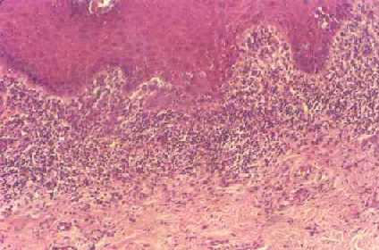
Un aspecto característico de la lesión cutánea asociado con antecedentes de recurrencia de las lesiones puede ser un indicador de la presencia de liquen plano. El médico o el odontólogo pueden diagnosticar el liquen plano oral con base en el aspecto característico de las lesiones orales. El diagnóstico se confirma por medio de una biopsia de la lesión cutánea o una biopsia de la lesión oral.
La prevención de esta enfermedad no es posible. Sin embargo, evitar la exposición a químicos y medicamentos asociados con el liquen plano puede limitar el aumento de las erupciones en las personas con esta enfermedad.
Puede observarse úlcera recurrente por causas orgánicas, como estados de deficiencia hematínica o producidas por situaciones de estrés.
Esta es una enfermedad que frecuentemente se observa en sujetos nerviosos y tensos. El curso de la enfermedad es largo, variando desde meses hasta varios años, sufriendo con frecuencia períodos de remisión seguidos por exacerbaciones que corresponden a lapsos de malestar emocional, exceso de trabajo, ansiedad o alguna forma de tensión sicológica.

Por
doctorsalud