Admin
 
 
Logo DIPLOX
Investigadores Argentinos comprueban que la enfermedad celíaca aumenta el riesgo de fracturas
Volver Por tomamateyavivate
  
Viernes, 06/01/2012
Investigadores Argentinos comprueban que la enfermedad celíaca aumenta el riesgo de fracturas
Algunos estudios científicos sugieren que si la enfermedad celíaca no está diagnosticada y tratada quienes la padecen tienen mayores riesgos de sufrir fracturas. Una nueva investigación –publicada en la revista científica World Journal of Gastroenterology– refuerza la relación entre riesgos de fractura y celiaquía, enfermedad que se caracteriza por entorpecer la absorción de los alimentos.

Se presenta como una alteración inflamatoria de la mucosa intestinal que atrofia las vellosidades de las células del intestino; de allí que algunos de los síntomas de la enfermedad celíaca sean la diarrea, la anemia y la pérdida de peso.

En esta enfermedad “el agente causal del daño intestinal es la gliadina, una proteína del gluten presente en el trigo, la cebada y el centeno. El tratamiento consiste en la restricción de los alimentos que las contiene. Su implementación permite la recuperación de la mucosa intestinal y la reversión de los síntomas”, explicó durante una entrevista que mantuvo con la Agencia CyTA el doctor Julio Bai, jefe del Departamento de Medicina del Hospital de Gastroenetrología “Dr. C. Bonorino Udaondo” y uno de los autores del estudio publicado en la mencionada revista internacional.

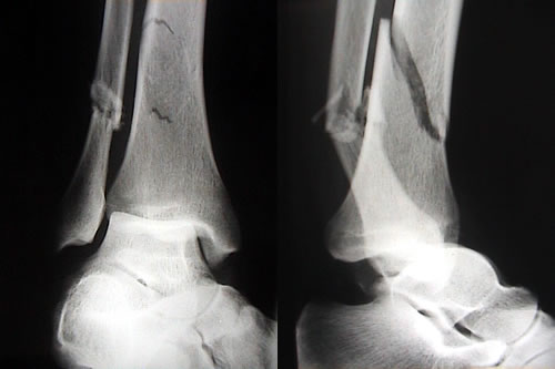
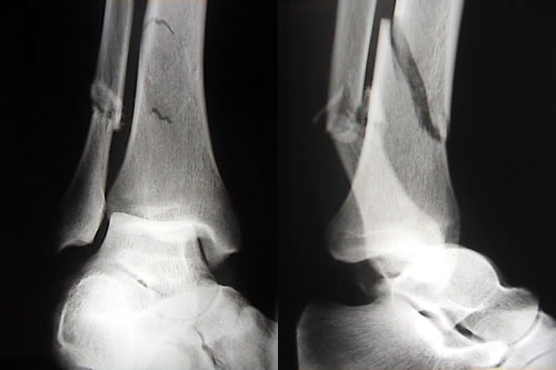
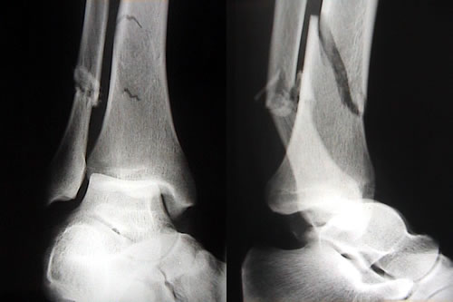
En las pasadas dos décadas diversos estudios científicos abordaron el posible efecto de la enfermedad celíaca sobre la densidad ósea. La osteopenia –disminución en la densidad mineral ósea que puede ser una condición precursora de osteoporosis– y la osteoporosis detectadas a partir de mediciones de densidad ósea –realizadas en esas investigaciones– se han registrado en más del 50 por ciento de los pacientes que tiene enfermedad celíaca. Un meta-análisis de ocho estudios diferentes publicados entre el año 2000 y 2007, en el que participaron 20.995 pacientes y 97.777 personas sin la enfermedad– concluyó que los pacientes con la enfermedad celíaca tienen un 43 por ciento más riesgos de sufrir fracturas.

Leer mas: http://www.tomamateyavivate.com.ar/inventos-y-descubrimientos-argentinos/investigadores-argentinos-comprueban-que-la-enfermedad-celiaca-aumenta-el-riesgo-de-fracturas/


Volver Por tomamateyavivate